Periodontologia – é a área da Medicina Dentária que se ocupa da prevenção, diagnóstico e tratamento das doenças das estruturas que suportam os dentes (gengivas e osso alveolar).
Também atua na estética do sorriso, ao corrigir defeitos como recessões gengivais (mediante a utilização de enxertos gengivais) ou mesmo na melhoria de casos de sorriso gengival através da técnica de alongamento coronário, conjugada com tratamentos cerâmicos nos dentes anteriores.
A doença periodontal deve ser diagnosticada precocemente já que é uma doença de origem bacteriana em que há destruição dos tecidos que envolvem e suportam os dentes. Por vezes está relacionada com problemas de saúde geral, tais como diabetes, doenças cardíacas e respiratórias.
O tabaco é também um importante fator de risco para a doença periodontal, mas há que salientar o caráter hereditário desta patologia: é muito frequente uma transmissão genética direta de pais para filhos da suscetibilidade à periodontite.
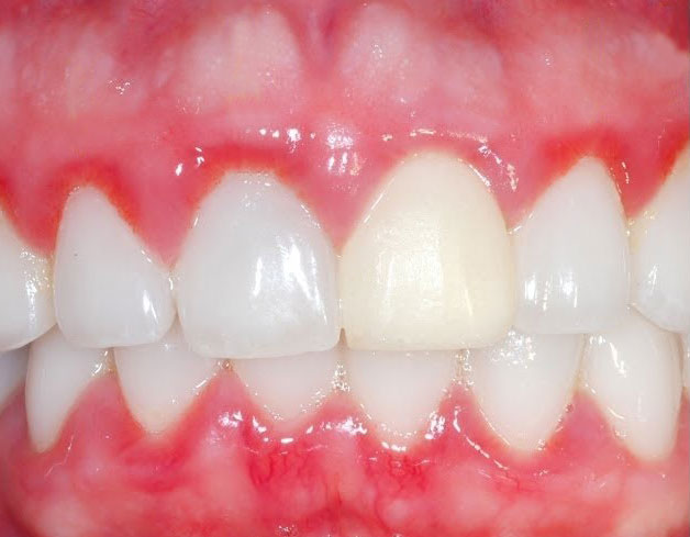
Gengivite – É a inflamação e consequente sangramento gengival causada pela presença de placa bacteriana. É reversível mediante a remoção do agente agressor (as bactérias) através de métodos de higiene oral.
Periodontite – Resulta da presença prolongada de agressão gengival levado a cabo pela placa bacteriana calcificada (tártaro) e traduz-se na retração gengival com perda óssea em torno do dente. Evolui de forma mais rápida e agressiva na presença de uma predisposição genética e de determinados fatores de risco. Leva ao aparecimento de mobilidade dentária e, por vezes, à perda mais ou menos rápida de uma ou várias peças dentárias.
O tratamento da periodontite é extremamente importante em tratamentos com implantes já que a doença, se não for tratada, evolui em redor dos implantes da mesma forma que nos dentes. A periimplantite pode levar à perda precoce dos implantes.

