ORTODONTIA – é a especialidade da Medicina Dentária que se dedica ao diagnóstico, prevenção e tratamento das malposições dentárias e malformações esqueléticas (maxilares). Tem, por objetivo, a correta função do sistema estomatognático (dentes, gengiva e osso) e uma melhoria na estética dentária e facial.
Ortodontia
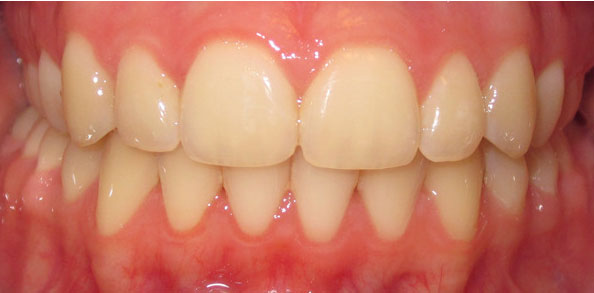
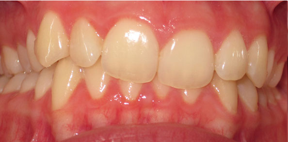
Aparelhos estéticos para pacientes adultos


Antes de iniciar o tratamento fazemos sempre um diagnóstico completo, abrangente e individual, com base na história e exame clínico e na avaliação dos elementos de diagnóstico: radiografias (ortopantomografia e radiografia de perfil da face), modelos de estudo e fotografias intra e extra-orais.
ORTODONTIA INFANTIL – habitualmente utiliza aparelhos fixos com brackets metálicos e ligaduras que podem ser coloridas;
ORTODONTIA DE PACIENTES ADULTOS – habitualmente utiliza brackets cerâmicos estéticos que torna o aparelho mais discreto;